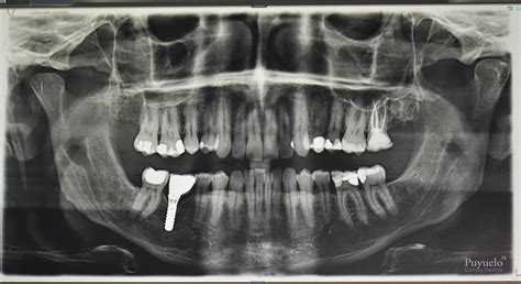
La ortopantomografía, también conocida como radiografía panorámica dental, es una técnica radiológica fundamental en la odontología moderna. Permite obtener una imagen completa de los dientes, la mandíbula y el maxilar, siendo esencial para el diagnóstico en diversas especialidades como la cirugía oral, implantología, ortodoncia y periodoncia. Este post te actualizará sobre las diversas aplicaciones de la OPG, las estructuras observables, cómo obtener una imagen perfecta, evitar errores comunes y te ayudará a decidir si un equipo de rayos X panorámico o un CBCT es la mejor opción para tu clínica dental.

¿Qué estructuras se observan en una ortopantomografía?
Una ortopantomografía de calidad revela una serie de estructuras anatómicas clave:
Dientes
La dentición debe mostrar una curva suave en la línea de sonrisa, con un espacio claramente distinguible entre los dientes superiores e inferiores. Los dientes posteriores deben tener un tamaño normal y la superposición entre premolares debe ser mínima. Las coronas de los dientes anteriores deben ser visibles y sus ápices completos.
Senos y Nariz
Los tejidos blandos de la nariz y sus cartílagos deben ser claramente visibles. La sombra del paladar duro debe ser notoria, y es posible observar imágenes fantasma del paladar en los senos maxilares. La lengua debe aparecer en contacto con el paladar en la imagen.
Cóndilos Mandibulares
Ambos cóndilos mandibulares deben aparecer centrados en la imagen, con un tamaño y altura similares en relación al plano horizontal.
Rama de la Mandíbula y Columna Cervical
La rama mandibular debe ser simétrica en ambos lados de la imagen. Si la columna vertebral es visible, no debe superponerse a la rama mandibular, y la distancia entre ambas debe ser igual en ambos lados.
Cuerpo Mandibular
La corteza inferior de la mandíbula debe presentar una imagen uniforme y continua. No deben existir imágenes fantasma o dobles imágenes del hueso hioides, y la línea media de la mandíbula y el maxilar no deben estar aumentadas.
¿Qué errores se deben evitar en una ortopantomografía?
La calidad diagnóstica de una ortopantomografía puede verse comprometida por diversos errores de posicionamiento o artefactos. Evitarlos es crucial para obtener información fiable:
Imágenes Fantasma
Una imagen fantasma es un artefacto radiopaco causado por la doble penetración del haz de rayos X en un objeto. Se presenta en el lado opuesto de la película, es más grande y difusa que la imagen real.
Solución: Solicitar al paciente la retirada de todos los objetos metálicos o radiodensos, como gafas, pendientes, piercings, collares o prótesis removibles.
Artefactos por Protección Radiológica
Un delantal plomado o collarín tiroídeo mal posicionados pueden aparecer como un artefacto radiopaco en forma de cono, dificultando el diagnóstico.
Solución: Posicionar correctamente los elementos de protección del paciente, eligiendo aquellos que permitan un ajuste cómodo y fácil para evitar errores.

Sombras Oscuras Radiolúcidas
Estas sombras pueden deberse a dos causas:
- Labios no cerrados en la lengüeta de mordida: produce una sombra oscura que bloquea la visión de los dientes frontales.
- Lengua no apoyada contra el paladar: genera una sombra oscura sobre los ápices de los dientes superiores, dificultando el diagnóstico.
Solución: Instruir al paciente sobre la importancia de mantener los labios cerrados en la lengüeta de mordida y la lengua apoyada en el paladar durante la toma de la radiografía.
Inclinación del Plano de Frankfurt
Si el plano de Frankfurt está inclinado hacia atrás (mentón demasiado alto o inclinado hacia arriba), se producen distorsiones significativas en la imagen.
Solución: Asegurar que el plano de Frankfurt sea paralelo al suelo, una línea imaginaria que va desde el punto infraorbitario hasta el borde superior del conducto auditivo externo.
Inclinación del Plano de Frankfurt hacia abajo
La situación contraria, con el plano de Frankfurt inclinado hacia abajo, también genera errores diagnósticos.
Solución: El posicionamiento correcto del paciente, manteniendo el plano de Frankfurt paralelo al suelo, es la solución.
Posicionamiento Incorrecto de los Dientes en la Lengüeta de Mordida
Si los dientes no se posicionan correctamente en el surco de la lengüeta de mordida:
- Dientes delante del surco: se verán más delgados o desenfocados.
- Dientes detrás del surco: se verán borrosos, anchos y desenfocados.
Solución: Indicar al paciente que utilice el surco de la lengüeta de mordida para posicionar sus dientes.
Descentramiento del Plano Sagital
Un plano sagital no centrado provoca una amplificación asimétrica de la rama y los dientes posteriores.
Solución: Centrar la cabeza del paciente y asegurar que el plano sagital esté perpendicular al suelo.
Mala Postura del Paciente
Una postura encorvada del paciente puede generar una radiolucidez en el centro de la imagen que dificulta el diagnóstico.
Solución: Asegurar una postura erguida del paciente, ajustando la altura de la mentonera. Animar al paciente a coger el mango con ambas manos desde la parte más baja para facilitar una postura más erguida.

¿Es mejor un equipo de rayos X panorámico o un equipo CBCT?
La elección entre un equipo de rayos X panorámico y un CBCT (Cone Beam Computed Tomography) depende de las necesidades específicas de la clínica y las especialidades que se practiquen:
Ventajas del CBCT
Para especialidades como la implantología o la cirugía maxilofacial, el CBCT suele ser la mejor opción debido a su mayor número de prestaciones y precisión. La exactitud en las mediciones preoperatorias es crucial para el éxito de estos procedimientos.
Limitaciones de la Radiografía Panorámica
Las radiografías panorámicas, aunque útiles para evaluar la cantidad de hueso mandibular, sufren de distorsión debido a que no cumplen con los principios básicos de proyección, lo que aumenta el tamaño de la imagen y limita la precisión de las mediciones.
Revolución del CBCT
El sistema Cone Beam CT (CBCT) ha revolucionado la implantología y la cirugía maxilofacial al ofrecer exámenes bidimensionales y tridimensionales con una relación 1:1 con las estructuras anatómicas, y con una menor dosis de radiación en comparación con los equipos de TC médicos.
Equipos Híbridos
Existen equipos inteligentes que combinan las funcionalidades de un CBCT con las de un equipo panorámico. Estos equipos pueden generar automáticamente cortes de imágenes panorámicas de CT, adaptándose a la anatomía del paciente y ofreciendo una experiencia más intuitiva y conveniente que la panorámica tradicional.
¿Qué se ve en una radiografía panorámica? ¿Cómo puedo entenderla? 🦷 - Odontología Láser.
Aplicaciones y Relevancia de la Ortopantomografía
La ortopantomografía es una herramienta diagnóstica de gran valor en la práctica odontológica diaria. Su capacidad para ofrecer una visión completa del área maxilofacial con una baja dosis de radiación la convierte en una prueba esencial.
Diagnóstico de Patologías
La radiografía panorámica permite detectar problemas y patologías que no son visibles a simple vista, como:
- Caries: la enfermedad bucodental más común.
- Periodontitis o piorrea: la segunda patología más frecuente.
- Infecciones, quistes, fracturas óseas.
- Dientes no erupcionados o retenidos.
- Maloclusiones dentales.
La detección temprana de estos problemas puede llevar a tratamientos menos invasivos y más económicos a largo plazo.
Planificación de Tratamientos
Esta prueba es fundamental para la planificación de tratamientos dentales, especialmente en:
- Implantes dentales.
- Colocación de aparatos de ortodoncia.
- Procedimientos de Odontología Conservadora.
Primera Visita y Evaluación Integral
Realizar una radiografía panorámica durante la primera visita a la clínica dental permite una evaluación rápida y eficiente del estado general de salud bucal del paciente. Ofrece una visión completa de la boca, incluyendo todos los dientes, el hueso de la mandíbula y las articulaciones temporomandibulares (ATM).

Consideraciones sobre la Radiación
Existe preocupación entre algunos pacientes sobre la exposición a la radiación. Sin embargo, los equipos de rayos X digitales modernos, como los utilizados en clínicas como Ferrus & Bratos, emiten una radiación mínima en comparación con los equipos convencionales. El personal de la clínica se encarga de recordar al paciente las medidas básicas de protección y el correcto posicionamiento antes de la prueba.
tags: #radiografia #panoramica #denticion #mixta