Introducción
El manejo del dolor en neonatos es un aspecto crucial de la atención médica pediátrica, con implicaciones que se extienden más allá del período neonatal inmediato. Si no se trata adecuadamente, el dolor en los recién nacidos puede tener consecuencias neurológicas y conductuales a largo plazo. Históricamente, las respuestas de los neonatos a estímulos dolorosos se consideraban meros reflejos fisiológicos. Sin embargo, la comprensión actual reconoce que el sistema del dolor se desarrolla tempranamente en la gestación y que el sistema nervioso central es sensible a estímulos sensoriales desde el período fetal hasta la maduración posnatal. Por ello, el dolor neonatal puede influir en la percepción del dolor a lo largo de la vida, y persisten barreras para su manejo efectivo a pesar de los avances en el reconocimiento de esta problemática.
Entre las causas más frecuentes de dolor neonatal se encuentran las fracturas intraparto. Aunque raras, las fracturas costales representan un desafío diagnóstico y terapéutico particular. Estas lesiones ocurren con una frecuencia aproximada de 0,23 por cada 1.000 nacidos vivos, siendo la fractura clavicular la más común. Sin embargo, también pueden presentarse fracturas en el fémur, húmero, cráneo o costillas. Los factores de riesgo asociados a fracturas intraparto incluyen la macrosomía fetal, el parto instrumentado, la distocia de hombros y la presencia de fracturas claviculares concomitantes. A menudo, estas lesiones no se diagnostican en el período neonatal inmediato debido a la dificultad inherente en la identificación de síntomas y la valoración del dolor en recién nacidos, lo que subraya la importancia de un abordaje temprano y efectivo.
Caso Clínico: Neonato con Fractura Costal Izquierda
Este artículo presenta el caso de un neonato de sexo masculino, producto de un embarazo sin complicaciones, que nació de forma pretérmino a las 36 semanas de gestación, en el contexto de un parto distócico. Al nacer, el neonato pesó 2 kg y no requirió maniobras avanzadas de reanimación cardiopulmonar, necesitando únicamente oxígeno suplementario bajo cánula nasal. La tolerancia a la vía oral fue adecuada, con inicio oportuno de lactancia materna.
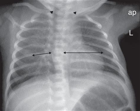
Tras ser trasladado a la unidad de cuidados neonatales para seguimiento y valoración clínica, a las 12 horas posparto, el neonato presentó un cuadro clínico caracterizado por llanto incontrolable e irritabilidad, que se exacerbaba con la movilización. Además, se observaron episodios de rechazo de la vía oral y desaturación. Los estudios complementarios realizados incluyeron una radiografía de tórax, la cual reveló fracturas costales izquierdas en el quinto y sexto arcos costales. El resto de los parámetros paraclínicos se encontraron dentro de los rangos normales.

Manejo del Dolor: Bloqueo del Plano del Erector de la Espina (ESPB)
El paciente fue valorado por un médico anestesiólogo algólogo intervencionista, quien indicó y realizó el bloqueo del plano del erector de la espina (ESPB) a nivel T4, guiado por ecografía. La sedación fue administrada por el neonatólogo y el equipo de enfermería de la unidad de neonatología, e incluyó una dosis intravenosa de morfina (según protocolo de la unidad) y sacarosa oral.
Para la técnica del ESPB, se utilizó bupivacaína al 0,13%. Se preparó una solución a partir de la dilución de 0,8 mL (4 mg) de bupivacaína simple al 0,5% en solución salina hasta un volumen total de 3 mL. De esta dilución, se tomaron 1 mL en una jeringa de insulina, alcanzando una concentración final de 1,33 mg/mL. Se administraron 0,8 mL, equivalentes a 1,06 mg de bupivacaína (dosis absoluta), lo que corresponde a una dosis relativa de 0,53 mg/kg, con un volumen administrado de 0,4 mL/kg, considerando el peso de 2 kg del neonato. El procedimiento se realizó en la Unidad de Cuidado Intensivo Neonatal, en incubadora, con el neonato en decúbito lateral derecho. Se empleó un ecógrafo portátil para identificar el proceso transverso de T4 en posición sagital, seguido de la punción en plano, en dirección céfalocaudal, hasta contactar con el proceso transverso. Tras una aspiración negativa, se administró la solución sin incidentes.
El procedimiento transcurrió sin complicaciones inmediatas. En el seguimiento, el paciente fue reevaluado a la hora, y posteriormente a las 6, 24, 48 y 72 horas después del procedimiento. Se observó que el neonato se encontraba tranquilo, toleraba la vía oral y la movilización, y mantenía una saturación de oxígeno dentro de los rangos normales.

Evaluación de la Analgesia
Para la valoración de la analgesia, se utilizó la escala FLACC (Face, Legs, Activity, Cry, Consolability). La puntuación inicial fue de 3, la cual descendió a 0 en reposo y a 2 durante la carga y la lactancia, evidenciando una respuesta adecuada al manejo analgésico. Se inició el retiro progresivo de oxígeno durante la semana siguiente, logrando posteriormente el alta sin reporte de complicaciones.
Durante este período, el neonato no requirió analgesia de rescate, manteniéndose únicamente con el esquema basal de morfina previamente pautado por neonatología. Es relevante destacar que, a diferencia del período previo al bloqueo, cuando incluso con morfina el paciente no permitía la manipulación ni la alimentación, tras el procedimiento toleró sin dificultad el contacto con su madre y el personal tratante, así como la alimentación oral.
Discusión y Conclusiones
El manejo del dolor neonatal es un concepto relativamente nuevo pero de suma importancia. Actualmente se reconoce que el dolor agudo en esta etapa puede provocar un deterioro grave de la mecánica respiratoria y alteraciones en el neurodesarrollo a largo plazo, incluyendo secuelas fisiológicas, conductuales y cognitivas. Por lo tanto, la evaluación clínica enfocada en la identificación de síntomas y signos de dolor es fundamental para instaurar un manejo rápido y efectivo. Los parámetros a considerar incluyen cambios en la frecuencia cardíaca, patrón respiratorio, presión arterial o saturación de oxígeno, así como respuestas conductuales como llanto, cambios faciales y movimientos corporales.
Se propone que el manejo del dolor neonatal puede incluir terapias no farmacológicas (como el método canguro), terapias farmacológicas y terapias intervencionistas. En el caso específico de las fracturas costales, la inervación de la pared torácica proviene principalmente de los nervios espinales torácicos, que se ramifican en nervios intercostales. La difusión del anestésico local en el ESPB hacia el espacio paravertebral permite alcanzar estas ramas nerviosas, lo que sugiere que esta técnica es anatómicamente adecuada para el control del dolor en este tipo de lesiones.
Aunque el ESPB se ha utilizado ampliamente en adultos y niños mayores para el manejo del dolor torácico, su aplicación en neonatos es escasamente documentada. Diversas publicaciones respaldan la eficacia del ESPB guiado por ecografía en adultos con fracturas costales para aliviar el dolor y mejorar la función pulmonar. Sin embargo, los reportes en población pediátrica son limitados, y en neonatos, la evidencia es aún menor, centrándose principalmente en el uso intraoperatorio.
Bloque del plano erector de la columna (ESP)
En el caso presentado, resulta particularmente relevante que el paciente se mantuvo adecuadamente analgesiado durante 72 horas tras una única dosis de bupivacaína. Este hallazgo, poco común en adultos, podría explicarse por el estado de prematuridad y bajo peso del neonato, que favorecería un metabolismo más lento de los anestésicos locales. Además, la difusión del anestésico generó un bloqueo extenso con cobertura de múltiples niveles. La duración específica del dolor en fracturas costales neonatales es un área que requiere mayor investigación.
En conclusión, el ESPB se perfila como una alternativa analgésica útil en la unidad de cuidados neonatales, ya que permite evitar el uso de opioides y sus efectos secundarios, y reduce las complicaciones asociadas a otras técnicas analgésicas regionales, como la hipotensión o la lesión medular (analgesia epidural), o el neumotórax y la punción vascular (bloqueos intercostales). Es necesario ampliar la investigación en población neonatal sobre la eficacia, seguridad, duración y posibles efectos adversos del ESPB, no solo en contextos intraoperatorios y posoperatorios, sino también como herramienta para el manejo de complicaciones frecuentes como las fracturas intrapartos.
tags: #fracturas #costales #radiografia #neonato