En tuMédico.es, ofrecemos la posibilidad de realizar una Visita de Ginecología con Ecografía en la localidad de Granollers. Este servicio permite un chequeo completo de la salud ginecológica, aprovechando la tecnología de la ecografía para obtener imágenes detalladas del útero y los ovarios.
¿Qué es la Visita de Ginecología con Ecografía?
La Visita de Ginecología con Ecografía es un servicio integral diseñado para una revisión completa del sistema reproductivo femenino. Durante la consulta, el ginecólogo realiza un examen físico, recopila el historial médico y guía a la paciente a través del proceso de ecografía para obtener imágenes detalladas de los órganos internos.
Importancia de la Revisión Ginecológica con Ecografía
Realizarse una Visita de Ginecología con Ecografía es fundamental para el control adecuado de la salud ginecológica. Esta prueba es capaz de detectar afecciones como quistes, tumores u otras anomalías que podrían pasar desapercibidas en un examen físico tradicional. Además, proporciona tranquilidad al confirmar que todo está en orden y promueve un cuidado preventivo del bienestar.

Ecografías Obstétricas en Granollers
La ecografía obstétrica en Granollers es una herramienta esencial en el seguimiento del embarazo, permitiendo obtener imágenes en tiempo real del feto y el útero. Generalmente, se recomiendan al menos tres ecografías de embarazo por trimestre. Si se opta por una clínica privada, el número de ecografías podría ser mayor hasta el momento del parto.
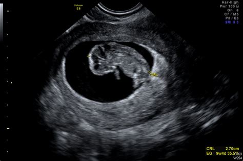
Ecografía Obstétrica del Primer Trimestre
La ecografía del primer trimestre, realizada entre las semanas 11 y 14 de gestación, es una de las más importantes. Permite comprobar el estado del embrión, calcular la edad gestacional y detectar posibles anomalías en el desarrollo fetal. Una ecografía obstétrica preliminar puede realizarse entre las semanas 7 y 8 para confirmar la implantación, verificar el latido cardíaco y determinar el número exacto de embriones.

Ecografía Obstétrica del Segundo Trimestre
La ecografía estructural o morfológica se lleva a cabo entre las semanas 18 y 22 del embarazo. Durante esta prueba, se examinan detalladamente los órganos y estructuras del feto para descartar malformaciones o anomalías. También es en este momento cuando se puede determinar el sexo del bebé, si los padres así lo desean.
Ecografía Obstétrica del Tercer Trimestre
La ecografía de control del tercer trimestre se realiza de forma regular a partir de la semana 32 o 34. Su propósito es evaluar el crecimiento y desarrollo del feto, el nivel de líquido amniótico y la posición del bebé de cara al parto.
Cómo se produce la fecundación | Animación 3D
¿Qué es una Ecografía?
La ecografía es una técnica médica que utiliza ultrasonidos para crear imágenes en tiempo real de los órganos y estructuras del cuerpo. Mediante una sonda se emiten ondas sonoras que, al rebotar (eco), son captadas y procesadas para formar las imágenes visualizadas. Es una prueba no invasiva y segura.
Indicaciones y Beneficios de la Ecografía
La ecografía se puede realizar para valorar la mayoría de las partes del organismo. Las indicaciones más frecuentes incluyen estudios de patología abdominal, renal, vesical, prostática, pélvica, tiroidea y testicular.
Es una prueba indicada por el médico para el estudio específico de una enfermedad, con la que se espera obtener el mayor rendimiento diagnóstico. El estudio ecográfico es generalmente indoloro e incómodo.
Servicios de Ginecología y Obstetricia en Granollers
En Granollers, se ofrecen servicios especializados que combinan la consulta ginecológica y obstétrica con la realización de ecografías. La obstetricia se encarga del cuidado de la mujer embarazada, desde la concepción hasta el posparto, proporcionando un enfoque integral y personalizado.
Durante las consultas privadas de obstetricia se realizan diversos estudios, incluyendo análisis de sangre, ecografías, mediciones del crecimiento fetal y control de la presión arterial. El objetivo es asegurar el bienestar de la madre y el feto, y detectar precozmente cualquier complicación como hipertensión gestacional, diabetes gestacional o riesgo de parto prematuro.

Síntomas Tempranos del Embarazo y Pruebas de Detección
Los síntomas más comunes del embarazo incluyen la ausencia de regla, náuseas, mareos, vómitos, mayor deseo de orinar, somnolencia excesiva y cambios de carácter. Los test de embarazo en orina detectan la hormona HCG, presente durante la gestación. Se pueden realizar a los 3-4 días de la falta de regla, aunque un resultado negativo no siempre descarta un embarazo.
Primera Consulta y Control Prenatal
La primera consulta médica suele realizarse entre la semana 6 y 8, contando desde el primer día de la última regla. En esta visita se lleva a cabo la primera ecografía con los siguientes objetivos:
- Esbrinar si la gestación es evolutiva.
- Precisar la localización intrauterina del saco gestacional.
- Calcular ecográficamente las semanas de gestación.
- Conocer el número de embriones.
- Aclarar si existe alguna patología asociada (quistes ováricos, miomas).
Asimismo, se inicia el control de peso y tensión arterial, se proporcionan instrucciones dietéticas, se solicitan las exploraciones necesarias y se prescribe la medicación pertinente.
Test EBA (Screening Ecográfico-Bioquímico de Aneuploidías)
La primera analítica suele coincidir con el Test EBA, realizado entre las semanas 11 y 12. Este screening combina:
- Ecografía transvaginal: Busca signos ecográficos de sospecha de anomalías cromosómicas en pacientes de bajo riesgo.
- Estudio bioquímico en sangre materna: Determina la fracción libre de beta HCG y la proteína plasmática A (PAPP-A).
Es importante destacar que este test proporciona un índice de riesgo y no un diagnóstico. En función de los resultados, se puede decidir la conveniencia de realizar pruebas como la amniocentesis, la biopsia de corion o un test prenatal no invasivo para obtener el cariotipo fetal.
Actualmente, es posible realizar análisis de sangre que permiten determinar numerosas alteraciones cromosómicas mediante la separación de la fracción fetal de la muestra.
Ecografía 4D y 5D: Experiencias Inmersivas
Centros como Centre Miramed ofrecen tecnologías avanzadas como la ecografía 4D y 5D, que van más allá de la visualización médica para crear experiencias emocionales. La tecnología Hiper-Realismo Motion permite que el rostro del bebé cobre vida en secuencias de vídeo cortas, ofreciendo una vivencia aún más emocionante.

Centre Miramed, con sedes en Granollers y Sant Cugat, se posiciona como un centro de referencia en la provincia de Barcelona, ofreciendo ecografías 5D cerca de Terrassa, Cerdanyola, Mollet del Vallés, Rubí, Santa Perpetua, Sabadell, Mataró y Vic.
Precios y Opciones de Pago
El precio de la ecografía obstétrica en Granollers varía según el tipo de prueba (primer trimestre, ecografía de 20 semanas, etc.) y la clínica elegida. Se pueden encontrar ofertas y descuentos, como los ofrecidos por Centre Miramed en colaboración con Seephoto Estudio y Jennifer Morejón- Fotografía, que incluyen descuentos en sesiones fotográficas para sus clientes.
Tienda Online y Blog de Información
Para quienes buscan regalos originales para embarazadas, se proponen experiencias y vales regalo. Además, se invita a visitar la tienda online y el blog de Centre Miramed para estar al día de las últimas noticias relacionadas con el embarazo, comprender las diferencias entre ecografía 4D y 5D, y conocer los condicionantes de estas últimas.
tags: #ecografias #primer #trimestre #en #granollers