El plexo coroideo es una estructura cerebral fundamental, responsable de la producción del líquido cefalorraquídeo (LCR). Este líquido vital baña y protege tanto el cerebro como la médula espinal, actuando como un amortiguador natural.
En una pequeña proporción de embarazos, aproximadamente entre el 1% y el 2% (o 1 de cada 50 a 100 bebés), se puede observar la formación de una pequeña acumulación de líquido en el plexo coroideo. Esta condición se conoce como quiste del plexo coroideo.
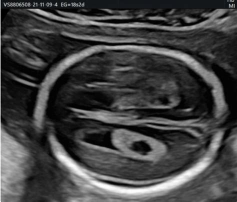
¿Qué es un Quiste del Plexo Coroideo?
Un quiste del plexo coroideo se define como una pequeña bolsa llena de líquido que se desarrolla dentro del plexo coroideo del cerebro fetal. El plexo coroideo en sí mismo es una intrincada red de células y vasos sanguíneos ubicada en los ventrículos cerebrales, que son espacios llenos de líquido dentro del cerebro.
La formación de estos quistes ocurre cuando el líquido queda atrapado en las capas celulares del plexo coroideo, un proceso análogo a la formación de una ampolla bajo la piel.
Desarrollo y Detección
La formación de un quiste del plexo coroideo puede comenzar alrededor de la sexta semana de gestación. Generalmente, estos quistes son detectados por los profesionales médicos durante una ecografía de rutina, habitualmente en el segundo trimestre del embarazo, alrededor de la semana 20.
La mayoría de estos quistes se desarrollan y desaparecen por sí solos antes del nacimiento del bebé, sin causar problemas de salud significativos. Se estima que se resuelven espontáneamente alrededor de la semana 28 de gestación.

Asociación con Anomalías Cromosómicas
Históricamente, el hallazgo de quistes en el plexo coroideo se ha asociado con fetos que presentan trisomía 18 (Síndrome de Edwards), una anomalía cromosómica grave. En aproximadamente un tercio de los fetos con trisomía 18 se observa un quiste del plexo coroideo. La trisomía 18 se produce por la presencia de un cromosoma adicional en el par 18, lo que puede ser heredado de uno de los padres o desarrollarse en el momento de la concepción. Esta condición a menudo conlleva problemas de salud significativos y, lamentablemente, muchos fetos con trisomía 18 no sobreviven hasta el nacimiento debido a anomalías orgánicas.
Sin embargo, es crucial destacar que la presencia de un quiste del plexo coroideo no implica automáticamente la presencia de trisomía 18. En un pequeño porcentaje de casos, los quistes pueden formarse en bebés con trisomía 18, lo que puede resultar en diversos problemas neurológicos y de desarrollo.
¿Cuándo Preocuparse?
Cuando se detecta un quiste del plexo coroideo, especialmente si es aislado (es decir, no se observan otras anomalías ecográficas), las mujeres embarazadas no deben preocuparse en exceso. Los médicos consideran que los quistes del plexo coroideo son parte de la variación humana normal.
La mayoría de los fetos con trisomía 18 presentan otras alteraciones detectables ecográficamente además del quiste. Por lo tanto, un quiste del plexo coroideo aislado generalmente no se asocia con problemas genéticos y no suele ser una indicación para realizar pruebas invasivas.
En la práctica clínica actual, ante la visualización de un quiste en el plexo coroideo, se recalcula el riesgo de trisomía 18 estimado en el primer trimestre. Si no se detectan otras anomalías, en la mayoría de los casos, no será necesario realizar estudios adicionales. El manejo del embarazo no se altera por el hallazgo de un quiste del plexo coroideo aislado.

Pruebas Diagnósticas y Evaluación del Riesgo
Para descartar la posibilidad de que el bebé tenga trisomía 18, los médicos pueden recomendar pruebas adicionales:
- Amniocentesis: Esta prueba invasiva consiste en la extracción de una pequeña cantidad de líquido amniótico del útero para analizar los cromosomas del feto.
- Prueba de alfafetoproteína (AFP): Esta prueba de sangre materna, realizada generalmente entre las semanas 15 y 20 de embarazo, examina los niveles de una proteína específica. Un resultado anormal puede aumentar la preocupación, pero no es un diagnóstico definitivo. A diferencia de la amniocentesis, la prueba de AFP no conlleva riesgos adicionales.
Los médicos suelen sugerir la prueba de AFP si consideran que existe un mayor riesgo de que el feto presente un trastorno congénito.
Importancia del Estudio Detallado
Ante la detección de quistes del plexo coroideo, se realizará un examen ecográfico detallado de la anatomía fetal para identificar la presencia de otras anomalías. Si no se encuentran otras anomalías, la mayoría de los casos no requerirán estudios adicionales.
Los estudios han evaluado la evolución de niños con un número de cromosomas normal y diagnóstico de quistes del plexo coroideo, y no han demostrado diferencias significativas en la función cerebral, motora o en el comportamiento.
Características de los Quistes del Plexo Coroideo
Clásicamente, el tamaño de los quistes del plexo coroideo suele variar entre 3 y 16 mm. Es importante destacar que no existe una correlación directa entre el tamaño del quiste y el riesgo de anomalía cromosómica.
El hallazgo de quistes del plexo coroideo puede ser unilateral (en un solo lado) o bilateral (en ambos lados). Si los quistes son bilaterales, se considera especialmente importante revisar toda la morfología fetal, ya que existe una mayor asociación con anomalías cromosómicas.
✅ PERIODO FETAL | DESDE LA NOVENA SEMANA AL NACIMIENTO [2021] 📚 EMBRIOLOGÍA HUMANA | RESUMEN
Otras Consideraciones sobre Quistes Cerebrales
Aunque el enfoque principal de esta información son los quistes del plexo coroideo, es útil mencionar que existen otros tipos de quistes cerebrales:
- Quistes endocraneales o intracraneales: Son bolsas llenas de líquido, y a veces otros materiales, que se desarrollan dentro o alrededor del cerebro.
- Quistes aracnoideos: Se forman en una de las membranas que rodean el cerebro.
- Quistes coloides: Suelen desarrollarse en el tercer ventrículo del cerebro.
- Quistes dermoideos y epidermoides: Pueden aparecer en cualquier parte del cerebro si pelo, piel o uñas quedan atrapados durante el desarrollo fetal.
La mayoría de los quistes cerebrales son congénitos, es decir, presentes al nacer. Sin embargo, algunos pueden desarrollarse más tarde en la vida debido a lesiones en la cabeza, meningitis, tumores o cirugías cerebrales.
Síntomas y Tratamiento de Quistes Cerebrales Generales
Algunos niños con quistes cerebrales no presentan síntomas, mientras que en otros los síntomas pueden tardar años en aparecer. Estos pueden incluir dolores de cabeza, náuseas, vómitos, convulsiones, aumento de la presión intracraneal, retrasos en el desarrollo y cambios de comportamiento. En casos no tratados, algunos quistes cerebrales pueden ser potencialmente mortales.
El tratamiento de los quistes cerebrales depende de su tamaño y ubicación. Generalmente, los quistes pequeños que no causan problemas no requieren tratamiento. Los quistes más grandes o aquellos que se prevé que causarán problemas a largo plazo suelen tratarse mediante cirugía para extirparlos o drenar el líquido.
Es importante notar que, aunque algunos quistes pueden estar asociados con tumores cerebrales, la mayoría de los quistes cerebrales son no cancerosos y, si no causan síntomas, no requieren intervención.
Perspectiva Clínica y Diagnóstico Prenatal
El diagnóstico prenatal ha avanzado significativamente, permitiendo la detección de marcadores ecográficos y la realización de pruebas citogenéticas y estudios inmunohistoquímicos en suero materno para el diagnóstico de cromosomopatías.
El riesgo de muchos defectos cromosómicos aumenta con la edad materna. La detección de malformaciones mediante ecografía en las primeras semanas de gestación es crucial, especialmente en gestantes de alto riesgo.
Los quistes del plexo coroideo, como otros marcadores ecográficos de alteraciones morfológicas, pueden ser indicativos de alteraciones cromosómicas. Sin embargo, la probabilidad de una cromosomopatía ante un quiste aislado es baja (alrededor del 1%), pero se considera que está indicado realizar un cariotipo si hay sospecha.
Cuando se observan quistes del plexo coroideo bilaterales, se recomienda realizar técnicas invasivas de diagnóstico prenatal para descartar anomalías cromosómicas.
El diagnóstico prenatal es de gran interés, ya que puede realizarse durante el primer o segundo trimestre del embarazo como parte del protocolo de cribado.
Conclusión sobre los Quistes del Plexo Coroideo
En resumen, los quistes del plexo coroideo son un hallazgo ecográfico relativamente frecuente durante el segundo trimestre del embarazo. En la gran mayoría de los casos, estos quistes son benignos, se resuelven espontáneamente y no están asociados a problemas de salud a largo plazo para el bebé. Si bien existe una asociación histórica con la trisomía 18, la presencia de un quiste aislado no es motivo de alarma y el manejo del embarazo generalmente no se modifica. La evaluación detallada por parte de los profesionales médicos es fundamental para asegurar el bienestar fetal.