La endometriosis ovárica, conocida también como endometrioma o “quiste de chocolate”, representa una de las manifestaciones más comunes de la endometriosis. Esta condición afecta directamente los ovarios y puede manifestarse a través de síntomas como dolor pélvico, alteraciones menstruales y dificultades para concebir. La intensidad y naturaleza de los síntomas pueden variar considerablemente, dependiendo del tamaño del quiste y de la presencia de endometriosis profunda asociada.
El diagnóstico de la endometriosis ovárica se basa en una combinación de la evaluación clínica y estudios de imagen. Las herramientas diagnósticas más empleadas son la ecografía transvaginal y, en casos específicos, la resonancia magnética pélvica.
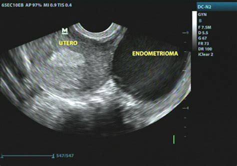
Diagnóstico por Imagen
Ecografía Transvaginal
La ecografía transvaginal es la prueba diagnóstica principal y de primera línea para el estudio de la endometriosis ovárica. Esta técnica permite visualizar quistes con características muy típicas, como un contenido homogéneo y paredes engrosadas, sin la presencia de septos. Se considera la técnica más accesible y eficaz para la identificación de endometriomas, con una eficiencia y especificidad reportadas de hasta el 88% y 90%, respectivamente.
El endometrioma típico se presenta ecográficamente como una formación quística redondeada u ovoide, unilocular, con paredes gruesas y regulares. Su contenido se describe como hipoecoico homogéneo, a menudo denominado “vidrio esmerilado”, debido a la presencia de fluido denso homogéneo. Típicamente, estos quistes carecen de septos, presentan una mala vascularización periférica y ausencia de vascularización central, sin proyecciones papilares o áreas sólidas. La frecuencia de esta apariencia típica se estima entre el 73% y 82% de los casos de endometriomas.
Es fundamental, al detectar un endometrioma mediante ecografía, evaluar la posible existencia de adherencias pélvicas y buscar signos de endometriosis profunda y adenomiosis. Esta evaluación integral permite determinar la extensión de la enfermedad en toda la pelvis, lo cual es crucial para un manejo adecuado de la paciente.

Resonancia Magnética Pélvica (RMN)
La resonancia magnética pélvica (RMN) se utiliza como método complementario en situaciones específicas:
- Cuando existe sospecha de endometriosis profunda.
- Si el diagnóstico ecográfico no resulta concluyente.
- En la planificación de cirugías complejas.
Patogénesis y Fisiopatología de la Endometriosis Ovárica
La patogénesis del endometrioma ovárico es un tema de debate científico, con varias teorías propuestas para explicar su formación:
- Invaginación de la corteza ovárica: Implantes activos en la superficie ovárica que se invaginan en la corteza.
- Transformación de quistes ováricos funcionales: Endometriosis que afecta a quistes ováricos preexistentes.
- Metaplasia del mesotelio pélvico: Transformación de células del revestimiento peritoneal en tejido endometrial.
La formación del endometrioma se produce por un proceso de invaginación de la corteza ovárica tras la acumulación de residuos menstruales y productos de sangrado de los implantes endometriales adheridos al peritoneo. En estadios iniciales, la corteza ovárica puede presentar una superficie blanco-perlada con tejido similar a la mucosa endometrial. En estadios avanzados, esta apariencia es reemplazada por pigmentación y tejido fibrorreactivo, formando un quiste oscuro o pigmentado. Se distinguen dos tipos de endometriomas según la vascularización y pigmentación:
- Endometrioma rojo: Corteza blanco-perlada o amarillenta, revestida por una mucosa delgada y muy angiogénica.
- Endometrioma negro: Tejido fibrorreactivo oscuro y pigmentado, con macrófagos cargados de hemosiderina.
El contenido del endometrioma, que incluye hierro libre y especies reactivas de oxígeno, puede ejercer un efecto deletéreo sobre el tejido cortical ovárico adyacente, independientemente del estiramiento mecánico.
Se ha observado una relación directa entre la presencia de endometriomas ováricos y la obliteración del cul-de-sac, enfermedad colorrectal y afectación intestinal, aumentando significativamente la probabilidad de enfermedad rectosigmoidea. La asociación con enfermedad profunda, que puede ser multifocal y comprometer vagina, uréter o intestino, multiplica el riesgo de lesión intestinal y ureteral.
Existe evidencia de que la corteza de los ovarios afectados por endometriomas contiene más folículos primordiales atrésicos, lo que sugiere un agotamiento focal de la reserva ovárica. El proceso inflamatorio local puede activar el reclutamiento y desarrollo folicular temprano, incrementando la atresia y apoptosis folicular.
La función reproductiva también puede verse alterada. Se ha documentado una disminución en la expresión del gen CYP19A1 (gen de la aromatasa) en las células del cúmulus de pacientes infértiles con endometriosis, lo que podría estar relacionado con el daño en la calidad ovocitaria.
El riesgo de transformación maligna de un endometrioma ovárico es bajo, estimado entre 0.6% y 0.8% de los casos.
¿Qué es la endometriosis? Causas, síntomas y tratamiento
Tratamiento del Endometrioma Ovárico
El manejo del endometrioma ovárico se individualiza y depende de factores como la edad de la paciente, la presencia de síntomas, el tamaño del quiste y el deseo de embarazo. Los objetivos terapéuticos incluyen aliviar el dolor, preservar la función ovárica y mejorar la fertilidad.
Tratamiento Médico
El tratamiento médico está indicado especialmente en los siguientes casos:
- Dolor moderado.
- Endometrioma de pequeño tamaño (menos de 3-4 cm).
- La paciente no está buscando embarazo inmediato.
Las opciones de tratamiento médico incluyen:
- Anticonceptivos hormonales combinados.
- Progestágenos.
- DIU con levonorgestrel.
- Inhibidores de aromatasa (en casos seleccionados).
Es importante destacar que estos tratamientos no eliminan el quiste, pero pueden reducir la inflamación, el dolor y la progresión de la enfermedad.
El objetivo principal de la terapia médica es el control del dolor, el manejo de la lesión ovárica (como alternativa o complemento a la cirugía) y la reducción del riesgo de recurrencia posquirúrgica. Las terapias médicas se enfocan en la supresión de estrógenos o en modular sus efectos sobre las lesiones endometriósicas. Los progestágenos y los anticonceptivos orales combinados son las terapias más comunes, aunque pueden presentar efectos secundarios limitantes. Los análogos de GnRH inducen un estado hipoestrogénico con síntomas menopáusicos y potencial disminución de la densidad mineral ósea, limitando su uso a corto plazo. A menudo, se asocian analgésicos (AINEs) para el control del dolor, aunque su efectividad en el control de la endometriosis no está completamente demostrada.
Tratamiento Quirúrgico: Laparoscopia Avanzada
La cirugía es el enfoque más efectivo cuando:
- El dolor es severo.
- El quiste supera los 4-5 cm.
- Existen fallos en los tratamientos médicos.
- Hay infertilidad asociada.
- Coexiste endometriosis profunda o adherencias.
La cirugía adecuada debe:
- Extirpar el endometrioma preservando el tejido ovárico sano.
- Restaurar la anatomía pélvica.
- Minimizar el riesgo de recurrencia.
- Preservar la reserva ovárica.
Por ello, es fundamental que la cirugía sea realizada por un equipo experto en endometriosis severa.
Existen cuatro técnicas quirúrgicas conservadoras, todas realizables por laparoscopia:
- Escisión de la pseudocápsula (quistectomía): Extirpación del quiste.
- Ablación: Destrucción del tejido quístico.
- Técnica en dos etapas.
- Técnica combinada.
La calidad de la cirugía y el uso cuidadoso de la energía son cruciales para el éxito del procedimiento.
Pronóstico y Calidad de Vida
Con el tratamiento adecuado, la mayoría de las mujeres experimentan:
- Reducción significativa del dolor.
- Mejora en la calidad de vida.
- Menor riesgo de recurrencia.
- Posibilidad de embarazo.
- Recuperación de la función pélvica.
La clave del éxito radica en un diagnóstico precoz y un abordaje individualizado del tratamiento.
tags: #endometrioma #ovarico #ultrasonido