Una investigación publicada en la revista científica Neurology y realizada por científicos de la Universidad de Fudan, en China, expuso el caso de una bebé de un año de edad que albergaba un feto en su cráneo. Los padres de la pequeña la llevaron a un hospital de la ciudad china de Shanghái, debido a que presentaba un tamaño irregular en su cabeza y sospechaban que tenía algunos problemas de orden cognitivo.
Una vez la revisaron, los médicos identificaron que, en efecto, la menor tenía un retraso en sus funciones motoras que debía desarrollar para su edad. Además, encontraron que su cráneo era demasiado grande. Tras practicarle algunos exámenes, se dieron cuenta de que tenía alojado un feto en su cráneo.

¿Qué es el Fetus in Fetu o Gemelo Parásito?
Este fenómeno se nombra con la locución latina “fetus in fetu” o con el nombre de “gemelo parásito” y se presenta cuando un feto se desarrolla dentro de una parte del organismo de otro feto durante el embarazo. Las pruebas practicadas a la bebé de un año arrojaron que se trataba del feto de su hermano gemelo, pues una secuenciación del genoma completo reveló que tanto el feto como la bebé poseían características idénticas.
Se conoció que ambos fueron gemelos monocoriónicos durante la gestación, lo que implica que compartían una misma placenta en el vientre de su madre. Algunos bebés pueden nacer con fetos alojados en su cuerpo sin que los profesionales médicos lo noten.
“Las partes unidas se desarrollan en el prosencéfalo del feto huésped y envuelven al otro embrión durante el plegamiento de la placa neural”, explicaron los investigadores en el artículo publicado en Neurology. Es decir, el feto parásito se desarrolló en la parte superior de la cabeza de la bebé que creció con mayor éxito dentro del vientre.
“El feto en feto se puede distinguir de los teratomas según la edad más joven de los pacientes que se presentan y la presencia de vértebras u órganos internos”, agregaron los científicos. Esta aclaración es importante, ya que en ocasiones los fetus in fetu pueden ser confundidos con ciertos tipos de tumores que presentan tejidos como músculos y huesos en su interior.

Causas y Mecanismos del Fetus in Fetu
La hipótesis de los científicos apunta a que estos casos se dan debido a una especie de error durante el desarrollo de fetos que iban a separarse. Normalmente, lo que ocurre con los gemelos es que el cigoto, la célula que resulta después de que el espermatozoide fecunda al óvulo, se divide después de la primera semana de embarazo.
No obstante, hay ocasiones en las cuales el cigoto tiene dificultades para dividirse adecuadamente, y los fetos quedan unidos. En algunos casos, este fenómeno provoca que se desarrollen dos seres distintos que, sin embargo, comparten uno o más órganos y se conocen popularmente como siameses. Pero existe la posibilidad de que solo uno de los fetos se desarrolle adecuadamente y el otro apenas tenga un crecimiento marginal, lo cual da origen a lo que se conoce como fetus in fetu.

Manifestaciones y Diagnóstico
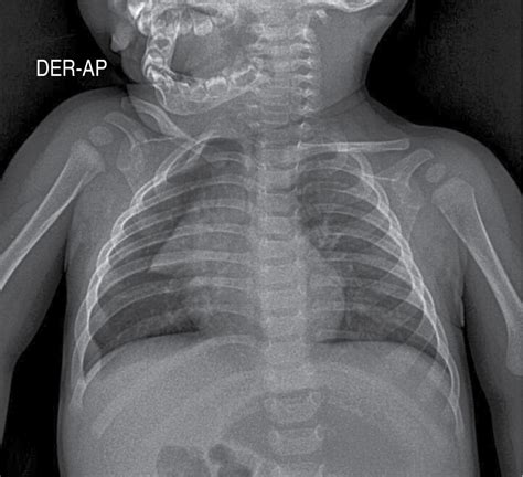
Por lo general, la formación de fetos en el organismo de los bebés se nota a simple vista, pues les causa una hinchazón en determinadas zonas del cuerpo. “Cuando el feto hospedador consigue sobrevivir al parto, este puede mostrar un abombamiento en la zona donde se sitúe el feto parásito. El 80% de las veces se encuentra en la región abdominal, pero también puede encontrarse en el cráneo, zona sacra, escroto”, advirtió un artículo científico publicado en 2013 por la Revista Cubana de Obstetricia y Ginecología.
En su artículo, los autores señalan que se trata de un fenómeno extremadamente raro que puede ocurrir con una frecuencia de un caso por cada 500.000 nacimientos. Los exámenes como la tomografía computarizada abdominal y las imágenes de rayos X son cruciales para detectar estas anomalías, registrando en el cuerpo del bebé una masa con el contorno óseo de una columna vertebral y extremidades en pleno desarrollo.
Casos Notables y Tratamiento
Se citó la historia de un niño que duró hasta los siete años con un feto alojado en su vientre. Lo más sorprendente del caso es que el feto siguió desarrollándose después del nacimiento del niño. “Se trataba de un gemelo atrofiado que no había llegado a formarse correctamente, pero sus tejidos sí habían ido creciendo porque se beneficiaban de la circulación de su hermano, como un parásito. La operación para extirpar al gemelo parásito o 'fetus in fetu' duró una hora y media. El bebé se recupera con éxito”, se reportó.
En Indonesia, un bebé de 10 meses de edad fue sometido a una exitosa cirugía para extirpar de su abdomen un gemelo parásito. El menor fue internado después de que su vientre se hinchara considerablemente. Las sospechas de sus padres sobre un presunto tumor se disiparon con los estudios de imagen que registraron en el cuerpo del bebé una masa en forma de feto.

La cirugía, que duró hora y media, logró extirpar un feto de 400 gramos. El examen del feto extirpado mostró que este era varón y aún poco desarrollado. El feto en miniatura por lo general tiene una columna vertebral, extremidades y varios órganos, pero no un cerebro o cráneo. Actúa como un parásito, alimentándose de la sangre del feto más grande y ocupando su abdomen, pecho, cráneo o escroto.
En un caso reportado en 2008, 11 masas fetales fueron encontradas dentro de la cavidad abdominal de un recién nacido en los Estados Unidos.
Conclusión y Detección Temprana
La condición de fetus in fetu surge cuando un gemelo -originado de un mismo óvulo, que comparte la misma placenta con su hermano- es absorbido por otro en el útero. Los embriones comienzan como discos planos, pero a las 4 semanas de desarrollo, comienzan a doblarse en la forma básica del cuerpo. La proximidad de gemelos idénticos significa que a veces uno puede plegarse en el otro durante este proceso.
Los avances en la ecografía fetal han facilitado la detección de gemelos parásitos durante el embarazo, permitiendo que sean extirpados quirúrgicamente poco después del nacimiento.
La Placenta y el Bebé | Casi Creativo
tags: #documental #el #feto #es #parasito