Los folículos ováricos, también conocidos como folículos antrales, son pequeñas formaciones quísticas localizadas en el interior de los ovarios que albergan un óvulo (ovocito) inmaduro. Es importante distinguir entre el folículo ovárico y el ovocito: el ovocito es el gameto femenino, mientras que el folículo es una estructura anatómico-funcional del ovario donde el ovocito madura a lo largo del ciclo ovárico.
La dotación de ovocitos se determina genéticamente durante la etapa embrionaria, alcanzando un pico de aproximadamente 5 millones de ovocitos en la semana 20 de gestación. Al nacer, una niña tiene entre 1 y 2 millones de ovocitos, cifra que disminuye progresivamente. En la pubertad, la mujer cuenta con unos 500.000 óvulos, y a partir de la menarquia (primera menstruación), se selecciona un ovocito en cada ciclo. Con el paso del tiempo, especialmente a partir de los 35 años, la reserva ovárica comienza a disminuir de manera más notable, siendo más acentuada a partir de los 38 y cayendo drásticamente a los 40.
Los folículos primordiales constituyen el "stock" inicial con el que nacemos y van disminuyendo con los años. Los folículos antrales son aquellos visibles mediante ecografía al inicio del ciclo menstrual (días 2-5), midiendo entre 2 y 10 mm. Estos folículos reflejan la reserva ovárica funcional disponible en un momento dado. De este grupo, en un ciclo natural, se selecciona un folículo llamado dominante, que crece más rápidamente y se prepara para la ovulación. Los demás folículos se atresian, es decir, desaparecen.

La Importancia de la Reserva Ovárica y su Evaluación
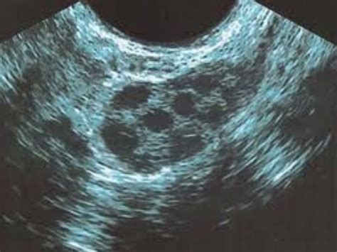
Conocer la reserva ovárica es fundamental en el estudio de la fertilidad femenina. Actualmente, el método más fiel para estimarla es el recuento de folículos antrales por ovario, realizado mediante ecografía transvaginal en los primeros días del ciclo menstrual (días 2 a 5).
¿Qué cantidad de folículos es normal?
Los umbrales orientativos para el recuento de folículos antrales (RFA) son:
- Reserva alta: > 15 folículos antrales.
- Reserva normal/adecuada: 10-15 folículos antrales.
- Baja reserva: < 6 folículos antrales.
Un recuento de 6 a 10 folículos antrales en cada ovario (sumando ambos) se considera una reserva ovárica adecuada o normal. Sin embargo, estos rangos son guías, y la interpretación se afina con otros marcadores y la edad de la paciente.
La reserva ovárica también puede ser valorada mediante un análisis de sangre de hormona antimulleriana (AMH), que es un biomarcador estable y sensible que refleja la población folicular disponible. La combinación de RFA, AMH y edad proporciona una visión integral de la reserva ovárica.
Es importante destacar que un número bajo de folículos antrales para la edad de la mujer puede predecir un riesgo aumentado de insuficiencia ovárica precoz o menopausia precoz, con las consiguientes consecuencias hormonales y de salud (osteoporosis, aumento del riesgo cardiovascular).

El Proceso de Maduración Folicular y Ovulación
Los folículos ováricos pasan por varias etapas de desarrollo. Tras los folículos primordiales y secundarios/preantrales, llegan a ser folículos antrales o maduros. Estos poseen un antro bien definido, una cavidad rellena de líquido que rodea al óvulo. El tamaño folicular es crucial, ya que indica si el óvulo en su interior ha alcanzado la madurez necesaria para la fecundación.
En un ciclo natural, el folículo dominante crece hasta alcanzar un diámetro medio de 22 a 24 mm (intervalo de 18 a 36 mm) antes de la ovulación. Los óvulos que pueden ser fecundados son los maduros, denominados metafase II. La extracción de un óvulo inmaduro no es útil para la fecundación.
Ciclos Naturales vs. Estimulados
En un ciclo natural, de todos los folículos antrales, solo uno se desarrolla hasta la ovulación. En contraste, en los tratamientos de reproducción asistida, como la fecundación in vitro (FIV), se administra medicación hormonal para estimular el desarrollo de múltiples folículos, buscando obtener un mayor número de óvulos. En estos ciclos estimulados, cuando varios folículos alcanzan un tamaño aproximado de 18 mm, se administra una hormona (hCG) que desencadena la ovulación, programándose la recogida de óvulos unas 36 horas después.

Factores que Afectan la Reserva Ovárica y la Fertilidad
Varios factores pueden influir en la reserva ovárica y la fertilidad:
- Edad: La calidad de los ovocitos disminuye con la edad, aumentando la probabilidad de alteraciones cromosómicas en los embriones.
- Cirugías ginecológicas: La extirpación de quistes ováricos o trompas de Falopio puede alterar la vascularización ovárica.
- Disruptores endocrinos: Sustancias y contaminantes que actúan como hormonas.
- Predisposición familiar: Algunas familias presentan un fallo ovárico prematuro.
- Alteraciones genéticas: Ciertas mutaciones genéticas, como en el síndrome de Turner, pueden predisponer a la baja reserva ovárica.
- Estilo de vida: Fumar, el consumo de alcohol, el estrés, la obesidad o el bajo peso pueden afectar la fertilidad.
- Enfermedades: La endometriosis puede dificultar el embarazo, y la celiaquía no diagnosticada también puede tener un impacto.
Comprendiendo la Baja Reserva Ovárica y las Opciones de Tratamiento
Una baja reserva ovárica indica que quedan menos ovocitos, pero no necesariamente que los restantes sean de peor calidad. La calidad ovocitaria está fundamentalmente determinada por la edad de la paciente. Una mujer joven con baja reserva puede tener óvulos de buena calidad, mientras que una mujer mayor con alta reserva puede tener óvulos de menor calidad.
A pesar de una baja reserva ovárica, es posible quedarse embarazada, aunque pueda costar más. Las opciones de tratamiento se adaptan a cada caso:
- Ciclo natural vs. Estimulado: Con una baja reserva, se pueden considerar ciclos naturales o estímulos suaves para intentar rescatar más óvulos.
- Inseminación Artificial (IA) vs. Fecundación In Vitro (FIV): La FIV suele ser preferible en casos de baja reserva, especialmente en mujeres mayores de 35 años, por ser más efectiva.
- Acumulación de ovocitos o doble estimulación: En casos de respuesta baja, se pueden realizar ciclos consecutivos para acumular ovocitos o embriones antes de la transferencia o vitrificación.
Es crucial un enfoque personalizado, valorando el RFA, la AMH, la edad y el historial médico para diseñar la estrategia más adecuada, ya sea intentar embarazo, preservar la fertilidad o someterse a un tratamiento de reproducción asistida.
¿Qué es la baja reserva ovárica y por qué se produce?
El Síndrome del Folículo Vacío
El síndrome del folículo vacío es una complicación poco frecuente (<7%) en tratamientos de FIV que consiste en la no recuperación de ovocitos tras la punción de folículos que parecían maduros y con niveles adecuados de estradiol. Las causas exactas son desconocidas, pero se han barajado errores en la administración de hCG o una respuesta anómala al tratamiento. Su incidencia aumenta con la edad.
Preservación de la Fertilidad y Planificación Familiar
Conocer la reserva ovárica a tiempo abre opciones importantes. Si una mujer no desea o no puede buscar embarazo en el presente y su RFA o AMH ya muestran una disminución (o tiene 35 años o más), la vitrificación de ovocitos puede ser una alternativa para preservar la calidad de sus óvulos actuales. Decidir a tiempo permite tener una mayor probabilidad de disponer de ovocitos de buena calidad, planificar con calma y tomar decisiones informadas sobre el futuro reproductivo.